Sponsored by: Vanta
Data breaches and cyber attacks are on the rise in the healthcare industry—making it critical to protect sensitive data.
The HITRUST CSF is the gold standard for cybersecurity, demonstrating your company's commitment to safeguarding protected health information (PHI). Vanta and HITRUST offer a Certification Checklist outlining the simple, step-by-step path to achieving this essential framework. Download the checklist now!

Happy JPM week everyone —
Our thoughts and prayers go out to all those affected by the Los Angeles fires ❤ Here is what we have for you this week:
2025 AI-driven mega-rounds
Transcarent acquires Accolade for $631M
AI boosts cancer detection in new study
9 new tools/partnerships, 17 funding updates & link-worthy content
Read time: 5 minutes
Our Picks ✨
Highlights if you’ve only got 2 minutes…
1/
2025 AI-driven mega-rounds
Healthtech venture funding is kicking off 2025 with AI-driven mega-rounds. In just this past week, four companies collectively raised $846M, hinting at a major wave of digital health and AI investments on the horizon. Here’s a closer look at this week’s standout deals:
Truveta: Truveta, a health data platform focused on building a genetics database, secured $320M in funding, bringing its valuation to over $1B. Backed by major players like Regeneron, Illumina, and 17 U.S. health systems, Truveta aims to create a giant genomic database to link treatments with outcomes and underlying health. (link)
Innovaccer: Innovaccer raised $275M in a Series F round to expand its AI and cloud capabilities. The health tech company is positioning itself as a “one-stop shop” for healthcare AI, using the funding to accelerate its vision of integrating advanced technology and disparate data into care delivery. (link)
Hippocratic AI: Hippocratic AI, a startup developing specialized healthcare AI agents, achieved unicorn status with a $141M Series B funding round. Just nine months after its Series A, the company continues to gain momentum by creating large language models tailored for healthcare applications. (link)
Qventus: Qventus, a leader in AI-based care automation software for health systems, secured $105M in funding led by KKR, with participation from Bessemer Venture Partners and strategic investors like Northwestern Medicine. The funding will expand its AI-powered operations platform, enhancing solutions like Surgical Growth and Inpatient Capacity, while advancing its AI Operational Assistants. (link)

2/
Transcarent acquires Accolade for $631M
The digital health space is off to a dynamic start as Transcarent announces its $621M acquisition of benefits rival Accolade. Founded in 2020, Transcarent simplifies healthcare access for employees through a unified smartphone interface, offering services like cancer care, surgery, and weight health via provider partnerships. With $126M in Series D funding and a $2.2B valuation, Transcarent is leveraging AI innovations and strategic acquisitions to expand its footprint. Accolade, a personalized benefits company, faced growth challenges despite raising $220M during its 2020 IPO, making it an attractive target. Adding over 1,000 clinicians and 16 years of health data, the merger blends Transcarent’s comprehensive care with Accolade’s navigation services, setting the stage for cost savings and higher utilization—and perhaps sparking a broader M&A wave in digital health. (link)

3/
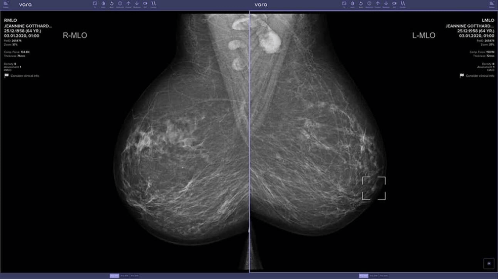
AI boosts cancer detection in new study
Researchers from the University of Lubeck in Germany just published a new study featuring the largest-ever real-world implementation of AI in breast cancer screenings, finding that AI can improve cancer detection rates by over 17%. Here are the highlights:
The study involved 119 radiologists who could voluntarily choose whether or not to use AI, with over 460,000 women undergoing screenings.
AI-supported radiologists achieved a cancer detection rate of 6.7 per 1,000 screenings, a 17.6% improvement over traditional readings.
For biopsies ordered, 65% of AI-assisted readings confirmed cancer compared to 59% without, showing improved accuracy in recommending procedures.
The AI also helped reduce workload by enabling 43% faster reading times while maintaining accuracy, going from 30 seconds per case to just 16.
AI is quickly proving its worth across nearly all aspects of medicine and healthcare — not only designing and creating new treatments but also enabling doctors to provide more accurate care. (link)

Tools & Partnerships 🔧
Latest on business, consumer, and clinical healthcare AI tools and partnerships…
TOOLS
Hippocratic AI launches an AI agent app store for healthcare: Hippocratic AI, creator of the first healthcare LLM for patient-facing non-diagnostic tasks, launched an AI agent app store. Clinicians can design agents to enhance patient care and efficiency in under 30 minutes, with safety testing by both creators and Hippocratic AI. Creators also share in the revenue their agents generate. (link)
AI model decodes gene activity in human cells: Columbia University researchers just developed General Expression Transformer (GET), an AI model that accurately predicts gene expression in any human cell, potentially revolutionizing the study of biological processes and diseases. GET is trained on a dataset of over 1.3M cells from normal human tissues and can understand gene behavior in cell types it hasn't seen before. (link)
Dexcom’s glucose AI: Dexcom launched “the first genAI platform for glucose biosensing” to bring its Stelo CGM users personalized content based on their glucose levels, activity, and sleep. The AI feature leverages Google Cloud’s Vertex AI and Gemini models to analyze individual data, lifestyle, and glucose levels while providing metabolic health insights through the Stelo app. (link)
CHAI model card now open source: The Coalition for Health AI (CHAI) released an open-access version of its model card for healthcare AI. The card, which has been compared to a nutrition label for algorithms, is available for free on GitHub. (link)
FDA issues guidance for AI-enabled medical devices: The U.S. Food and Drug Administration unveiled the first comprehensive draft guidance for AI-enabled medical devices, establishing recommendations across development and deployment — with over 1000 devices already authorized. (link)
AI-designed drug shows promise for inflammatory bowel disease: Insilico Medicine reported positive Phase I results for ISM5411, an AI-designed drug for inflammatory bowel disease setting the stage for Phase II trials in late 2025. (link)
PARTNERSHIPS
Abridge + Duke: Abridge opened the new year by inking an enterprise-wide agreement with Duke Health to deploy the ambient AI platform to 5,000 clinicians across 150+ primary and specialty clinics. (link)
Atropos Health + Merck: Atropos, a company translating real-world clinical data into real-world evidence for decision-making, announced it is partnering with Merck to generate RWE, replicate studies, and produce rapid insights and analytics on real-world data. (link)
UC San Diego Health + Artisight: UC San Diego Health is exploring the possibility of using AI-supported cameras to detect potential patient issues — such as patient falls and bed sores — with Artisight, a Chicago-based healthcare technology company. (link)
Deal Desk 💸
Spotlight on latest capital raises, M&A, and investments…
FUNDING
Truveta, a Bellevue, Wash., health data platform that's building a genetics database, raised $320M at more than a $1B valuation from Regeneron, Illumina and 17 U.S. health systems. (link)
Innovaccer, a San Francisco-based healthcare data AI platform, raised $275M in Series F funding from B Capital Group, Banner Health, Danaher Ventures, and others. (link)
Cera, a proprietary software platform and in-home healthcare provider in the U.K., has raised a $150M in a mixture of debt and equity. The round was led by funds affiliated with BDT & MSD Partners and Schroders Capital. (link)
Hippocratic AI, a startup building AI solutions that can handle non-diagnostic patient-facing tasks, secured a massive $141M Series B at a valuation of $1.64 billion led by Kleiner Perkins. (link)
Qventus, a provider of AI-based care automation software for health systems, raised $105M led by global investment firm KKR, with additional participation from world-renowned investment firm Bessemer Venture Partners, and new strategic investors, including leading health systems Northwestern Medicine, HonorHealth, and Allina Health. (link)
Qualified Health, a provider of generative AI infrastructure for healthcare, raised $30M in seed funding. SignalFire, Healthier Capital, Town Hall Ventures, and Frist Cressey Ventures, Intermountain Ventures, Flare Capital Partners, and others invested. (link)
Collate, an AI startup automating paperwork for biotech, raised $30M from Redpoint, First Round, YC and Conviction. (link)
Labviva, a Boston-based AI procurement platform for the life sciences industry, raised $25M in Series B funding. 53 Stations led the round and was joined by existing investors Biospring Partners, B Capital Group, and Glasswing Ventures. (link)
Oxford Cancer Analytics, a British developer of blood tests for early cancer detection, raised $11M in Series A funding. We Venture Capital and Cross-Border Impact Ventures co-led, and were joined by others. (link)
First Ascent Biomedical, a Miami-based oncology drug prediction platform, raised $6M from Vidal Duart Enterprises and Techstars. (link)
Grove AI, an SF-based developer of clinical trial tools, raised $4.9M in seed funding. A* led, and was joined by Afore Capital, LifeX Ventures, Pear VC, and Upfront Ventures. (link)
VitVio, a London provider of operating room software, raised €1.8M in pre-seed funding led by LDV Capital. (link)
MERGERS & ACQUISITIONS
Transcarent + Accolade: Employee healthcare navigation company Transcarent plans to acquire health benefits platform Accolade for $621M. Transcarent's acquisition combines AI-powered healthcare with Accolade's platform, creating a comprehensive solution serving 1400+ employer and payer clients. (link)
H1 + Ribbon Health: Healthcare tech company H1 picked up Ribbon Health, a provider data management software company to broaden its reach into the health plan, provider system and digital health sectors. (link)
Neuroflow + Intermountain Tech: Intermountain Health sold its behavioral health analytics model to NeuroFlow, which plans to integrate it into its suite to enhance patient risk insights and targeted care with new features coming soon. (link)
New Mountain Capital + Machinify: New Mountain Capital agreed to acquire Machinify, a Palo Alto-based healthcare payments AI-powered software provider. (link)
HEALWELL + Orion: HEALWELL AI acquired New Zealand-based Orion Health for $115M to combine their data infrastructure and AI capabilities while gaining access to over 70 large enterprise customers. (link)

market snapshot as of 1/13/25
Other Relevant News 🔍
News, podcasts, blogs, tweets, resources, etc…
Earn Free Perks 🤝

For every 3 referrals, we’ll give you 1 month of Healthcare AI Guy PRO at no cost.
{{rp_personalized_text}}
Copy & paste your unique referral link: {{rp_refer_url}}
Visuals of the Week 📸
Funny memes, cool pics, and interesting data from around the web…

market map


That’s it for this week friends! Back to reading — I’ll see you next week.
Stay classy,
— Healthcare AI Guy (aka @HealthcareAIGuy)
PS. I write this newsletter for you. So if you have any suggestions or questions, feel free to reply to this email and let me know
How was this week's newsletter? Tap your choice below👇


